Dental Bonding Eltham & Bulleen

Evercare Dental Group have been firmly established in both Eltham and Bulleen for almost 20 years, offering cosmetic dental care to local Eltham, Bulleen, Doncaster, Balwyn North, Research, Templestowe, Rosanna & Diamond Creek residents.

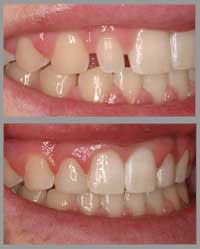
What is Dental Bonding?

Dental bonding is a composite resin material that adheres to your natural tooth. It can be used to repair a number of dental problems:

  • Close spaces between teeth
  • Hide cracks in teeth
  • Restore chipped or broken teeth
  • Mask exposed roots caused by receding gum lines
  • Whiten teeth that are too dark or stained
  • Lengthen small teeth
  • Protect teeth from further damage

What are the benefits of Dental Bonding?

Dental bonding is one of the simplest ways to improve the overall aesthetic appearance of your smile. Since they are bonded directly to your natural tooth, dental bonds add strength to your teeth and make them less likely to crack or chip. Unlike porcelain veneers and crowns, dental bonds do not have to be specially made in a laboratory. Bonding is typically a one-appointment process, but like most dental procedures your visit will probably start with an examination and any necessary cleaning.

How is Dental Bonding material applied?
First, your dentist will isolate the tooth or teeth that need to be bonded. Next, a gentle etching compound is applied to the tooth to prepare the tooth for bonding. This etching solution roughens the surface of your natural tooth, ensuring that the bonding material will adhere properly and securely to the tooth surface.

After the tooth is etched, your dentist will apply the bonding resin. The resin is applied to the surface of your tooth and acts like a super glue that holds the composite in place. Next the Tooth coloured composite is placed in layers as a putty-like compound. In order to ensure a natural-looking outcome, the composite compound is matched to your natural tooth color and carefully shaped to fit the surrounding teeth. Once the composite resin is applied and shaped, the resin compound is “cured” using a special blue light.

During the final phase of the procedure, your dentist will smooth and polish the bonded tooth so it matches the surrounding teeth. Our goal at Evercare Dental Group is to provide you with a natural-looking tooth restoration using dental bonds.

Are Dental Bonds permanent?
With proper dental hygiene and regular dentist visits, dental bonds can last you many years. Bonding differs from porcelain veneers in that over time the composite material loses its luster and darkens due to staining. When this occurs it is time to replace the material.

Our Service Area

To book an appointment please call; Eltham 03 9439 1772 or Bulleen 03 9852 3865